图知网
搜索
首页
热门推荐
图片分类
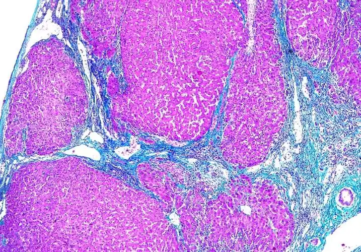
肝硬化
下载原图
相关图片
masson染色-肝脏肝硬化
病理切片-肝硬化
揭开艾滋病,肝硬化,乙肝病毒在病理切片下的真面目
门脉性肝硬化
【讨论】肝脏he染色可以看出肝硬化和脂肪肝吗?
不同原因肝硬化的病理
为你推荐
贺峻霖元气爱豆
最新灌胶机工作原理
fendi/芬迪 女士粉色小牛皮经典双f金属字母徽标搭扣单肩包斜挎包法棍
【手翻书火柴人】毒液篇·致命守护
贺军翔
骁g调六线pdf谱吉他谱-虫虫吉他谱免费下载
仿古砖地砖600x600防滑客厅瓷砖地毯砖亚麻砖布纹砖大随机无釉砖
木偶娃娃.