图知网
搜索
首页
热门推荐
图片分类
排球少年 日向 影山 图源cr侵删 - 堆糖,美图壁纸兴趣社区
下载原图
相关图片
#排球少年##影日#
#影日 #影山飞雄 #日向翔阳 #排球少年 "有我在,你就是 - 抖音
#排球少年#影日#二次元#日漫#纸片人 影日赛高!!! - 抖音
排球少年 影日 - 堆糖,美图壁纸兴趣社区
排球少年,日向影山,侵删,来源lofrer,详… - 堆糖,美图壁纸兴趣社区
【排球少年/影日】只要有我在,你就是最强的_哔哩哔哩_bilibili
为你推荐
近日,前奥运冠军田亮晒出了女儿田雨橙的近照引热议
詹姆斯vs科比,谁能剑指篮球之神
虽然只是钻石局,算低水平巅峰战绩了 - 王者荣耀 - 虎扑社区
火炬羽毛厂家直售素色羽绒被冬季保暖被子双人被芯-阿里巴巴
魔兽世界-艾萨拉|插画|游戏原画|土豆毅 - 原创作品 - 站酷 (zcool)
彩平咖啡厅集合店平面方案
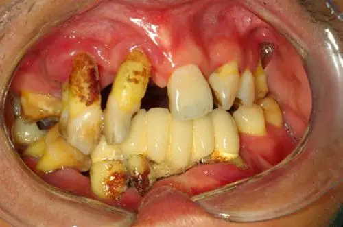
真的不要以为牙周病不是大问题!下面几点让你知道自己错得离谱
找到了做丸子的密码再柴的鸡胸肉也能qq弹