图知网
搜索
首页
热门推荐
图片分类
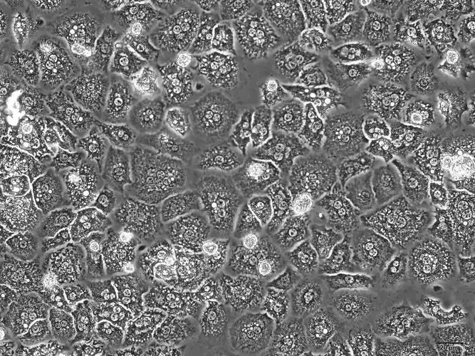
【求助】小弟,最近在样原代小鼠肝脏细胞,各位前辈帮忙看一下,培养基
下载原图
相关图片
小鼠肝实质细胞
小鼠肝h&e染色图片,这些白色是脂肪变性或细胞肿胀吗?
小鼠肝原代星状细胞培养
小鼠肝原代星状细胞培养
小鼠正常肝细胞 赛百慷icell
【求助】小鼠肝脏组织切片帮忙分析下吧.
为你推荐
国庆节主题班会主持词范文
明星情感 > 文章详情发现一个新趋势—— 昔日台湾偶像剧的男主角都来
香港中文大学(深圳)招生办公室学校官网:www.cuhk.edu.
郑钧
一家三口背影姓氏卡通头像 你留姓 我制作
"蒜头鼻"也可以很美 女星大鼻子旺夫又宜子
对爱情失望无奈的句子
儿童画241蚕宝宝