图知网
搜索
首页
热门推荐
图片分类
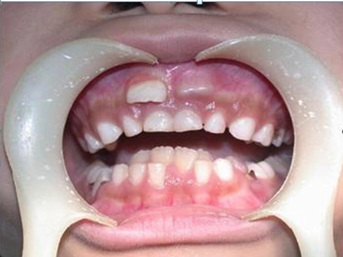
小朋友的换牙期.洗了根红萝卜,我俩一人一半吃的正香,她跑过来 - 抖音
下载原图
相关图片
孩子换牙期注意这个问题家长早知道孩子少受罪建议都看看
孩子换牙需要补钙吗 孩子换牙时期注意事项|育儿大师
大连美琳达医院:这些宝宝换牙问题,现在知道还来得及
孩子换牙期长了双排牙怎么办
各位宝宝妈,有谁知道呢,宝贝09年的,现在就换牙正常吗
孩子换牙期长出"双排牙"?家长了解这些,放心让孩子吃
为你推荐
ins高级质感女生头像
猫和老鼠表情包动图汤姆杰瑞
洗澡巾包装设计
95神仙颜值动漫头像女95 今天分享一组神仙颜值的动漫头像女,漫画
曜新皮肤李逍遥预览传说限定品质回城特效拍屁股太皮了
腰疼,腿疼,颈椎疼没啥问题就是难受
富田大江户温泉洗浴
【同仁堂】益肾强身丸(30丸装水蜜丸)