图知网
搜索
首页
热门推荐
图片分类
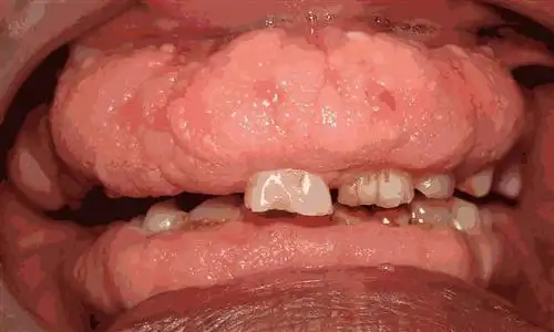
【图】牙龈癌的早期症状图片展示 4种临床表现你了解吗?
下载原图
相关图片
牙龈癌早期症状图片(55)
如何治疗?_牙龈癌_介绍_症状表现_治疗方式 - 好大夫在线
牙龈癌早期症状图片(2)
牙龈癌早期症状图片(57)
牙龈瘤
牙龈癌的症状
为你推荐
甄子丹最后救到儿子了吗(甄子丹的大儿子甄文焯)(27)
勇夺折叠会议桌可移动活动拼接长条桌双人办公桌子可折叠培训桌椅组合
大花猫,欧洲短毛,宿醉
秘制凉皮图片
男人猪蹄qq表情包搞笑图片表情
佛罗伦萨 领主广场.loggia dei lanzi雕塑 - 抖音
消防车消防员灭火.119
猴子的爪子图片