图知网
搜索
首页
热门推荐
图片分类
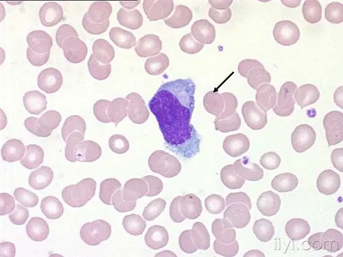
箭头所指"物"名称2018010404异型淋巴细胞外周血,瑞氏染色箭头所指"物
下载原图
相关图片
异型淋巴增高为哪般
异型淋巴细胞图谱
异型淋巴细胞图谱
日本血液学会的异型淋巴细胞图片
图集:国外的一些异型淋巴细胞(反应性淋巴细胞)
大家再看以下图片:张宏-苏大附二院:初看像异型淋巴细胞(图5除外)
为你推荐
严浩翔眼镜造型
小林家的龙女仆角色康娜同人图集原画插画壁纸第三十二期
白色背景下的真实的心脏
肖茵:《灵魂摆渡》让我展现了自己最真实的状态
卡通橡皮擦矢量图下载
大专也算大学生?专科生穿"学士服"拍毕业照,被质疑没资格
金赛纶
小手绘家谱 家风永相传——林州世纪学校二(7)班德育活动纪实