图知网
搜索
首页
热门推荐
图片分类
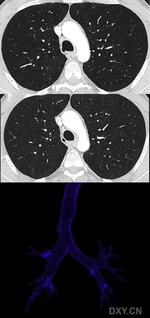
ct三维重建:观察右上肺占位组织是否存在变异血管,避免穿刺过程中损伤
下载原图
相关图片
图123‐3 气道三维重建
早诊早治肺结节ct三维重建技术带来诊治新突破
立体重建显示结节在胸腔的位置来自江西38岁的肺结节患者李女士(化名)
【影像读片】气管憩室ct三维重建 [病例帖]
整个肺部ct图像重建效果对比(其中一层)
3dslicer肺部影像三维重建及虚拟支气管镜
为你推荐
出门必备搭讪的男生发型
简易舞台机械搭建是将来的一种发展趋势
刘耀文回校拍毕业照:换校服后秒变高冷学长,就连气质都截然不同_舞台
洗米华爱老婆还是小三渣男史 感觉洗米华很爱刘碧丽mandy怎认识的
该剧是温州市越剧团南戏新编系列工程之一,故事讲述了南宋时期,温州士
杨丽萍:我非常注重身材的管理,体重一般不超过90斤
十二星座82专属精油国庆假期出行必备
onha 调理:肤色不均,皮肤暗黄,毛孔粗大,黑头,油性皮肤 - 抖音