图知网
搜索
首页
热门推荐
图片分类
哪位能从我的舌头看出我身体情况?
下载原图
相关图片
舌头红缺精,舌头白丢血,舌头胖漏气!这样说对吗?
舌苔白厚泛黄,舌尖猩红,舌中一小块猩红无苔,往舌根进去泛有红点,是
孩子舌头上总有一块块红的,怎么回事
夏天最多这样的舌象,舌苔有明显的红点 这个舌象是明显的"草莓舌"就是
我舌头中间的舌苔不见了,快有一年多的时间了.这是肿么了?
看舌头判断宝宝生了什么病组图
为你推荐
#肖战##肖战真力时品牌代言人#
小朋友都喜欢的糖果简笔画教程来啦!
在《哪吒2》前,《敖丙传》或率先动画化!国漫崛起就靠光线影业
被名字耽误的"小人祭",叶色斑斓"易群生",养成老桩更雅致
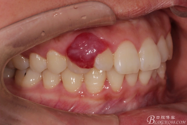
发一个牙龈瘤的病例yidianbalicdf的博客kq88口腔博客
简笔画花边边框超简单可爱
冷水鱼有哪些品种小型冷水鱼有哪些品种
云南昆明汤池温泉