图知网
搜索
首页
热门推荐
图片分类
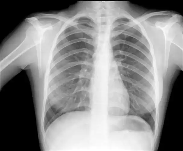
这张胸片肺部有问题吗?
下载原图
相关图片
影像诊断报告里"肺纹理增多"到底是个什么鬼?
切换新版 >> 不再显示 × 临床上,类似这样的肺弥漫性病变胸片很是
x光下人的肺部
求助正常肺部x光片图片供教学用
30日肺ct
正常胸片及其需要牢记的正常结构:天天师兄说明
为你推荐
手绘 #我的生活日记 #服装设计手绘 黑皮就是yyds(叶 - 抖音
盗墓笔记虐心句子‖快收藏!‖ 盗墓笔记令人泪眼婆娑的虐句 1.
巫妖王 由 小伍 创作 | 乐艺leewiart cg精英艺术社区,汇聚优秀cg艺术
灵魂是否真的存在人死后为何都用白布遮脸
上海新荣记餐厅 | 德坚设计
干杯
满江《归来》真不愧是满江,开口就是王炸
宇宙公主和月亮公主的合照简笔画