图知网
搜索
首页
热门推荐
图片分类
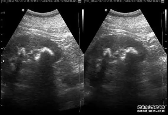
马蹄肾合并左肾结石
下载原图
相关图片
肾多发结石
肾脏惊现"小脚板" 10年结石变造型
夜宵呷龙虾加啤酒长沙女子肾结石致肾脏积脓
输尿管结石展示
男子开车途中突发腰痛险酿大祸,就医确诊输尿管结石
考虑患者疼痛显著,且已因结石梗阻产生左肾积水,为免病情加重危害肾脏
为你推荐
原创霍启刚发文感谢郭晶晶感恩老婆才是男人最高级的修养
刘德华帅气图片,每一张都是小鲜肉,不知吸引了多少粉丝.#刘德 - 抖音
女头像16岁真人可爱 高清16岁真人头像 清晰 漂亮_女生头像_美头网
美国男明星有哪些(10位实力派的好莱坞男演员排行推荐)-壹晶度
小白兔涂色 #幼儿园# #动物美术涂色# #兔子简笔画
烂番茄96不明觉厉史上最长的科幻系列英剧上线
严浩翔 腹肌
原创黄元申:演霍元甲爆红,与赵雅芝传绯闻,遁入空门后神秘至今