图知网
搜索
首页
热门推荐
图片分类
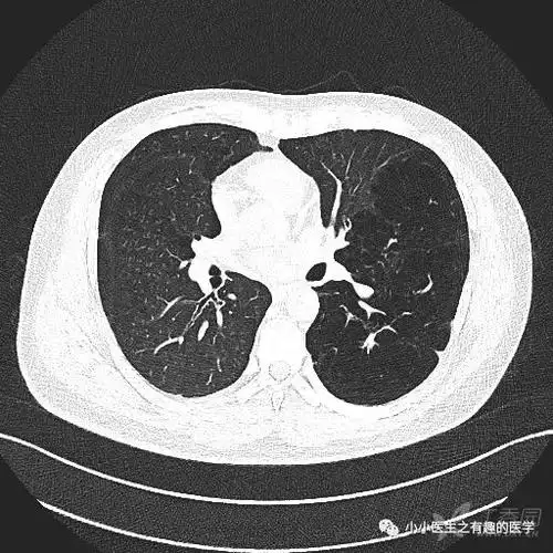
肺气肿ct典型图谱,一学就会_医学界-助力医生临床决策和职业成长
下载原图
相关图片
肺气肿有多严重?会危及生命吗?可以预防吗?听听医生怎么说
肺气肿的影像诊断
秒懂「肺气肿」,赶紧收藏这些经典图谱_医学界-助力医生临床决策和
ct经典图谱:肺气肿拿不准?经典ct,3分钟学会
高龄肺气肿合并肺大泡气胸并非手术禁区! - 好大夫在线
香烟是如何一步步导致老慢支,肺气肿,肺心病的?
为你推荐
exo时期的鹿晗,韩国的妆造是有点东西的 #鹿晗
龚俊代言361度##今日星拍放送##龚俊361度全球品牌代言人
手电筒朝太空照射,它的光会一直飞到宇宙最深处吗?那里有什么
健身达人刘太阳晒新照!178穿高跟鞋更有气质,颜值很高颇受关注
hoscene二炮07迷彩服套装男特种兵军装套装式火箭军迷作训服秋冬季
这是日本德川家康家族武士所用的盔甲
钢筋锚固长度表格精选课件
研美车配汽车个性车贴贴纸mlj-6783 别碰我车贴纸 单片装