图知网
搜索
首页
热门推荐
图片分类
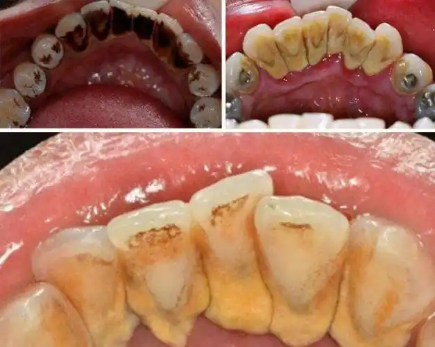
烟渍滋生!牙齿又黑又臭,过来人教你3招!黄牙秒变白牙不反复!
下载原图
相关图片
牙齿美白 烟渍牙 技术,它将高强度蓝光定点照射,它不仅可以去除牙齿
烟渍牙严重危害牙齿该如何去除教你小妙招
首页 牙齿贴面 烟渍牙 ···男神
男生烟牙黄牙口臭怎么办这个神器帮你一招解决
烟渍刷不掉怎么办?照着这几个方法做,在家也能白牙去渍!
有烟斑和牙垢的人类牙齿.牙科诊所的特写宏.卫生的概念
为你推荐
[逃学威龙2]朱茵
b站跨年##吴亦凡# 来看吴亦凡的大碗宽面了[tv_doge]
复古港风女头 | 这世界欠你的一切温柔,我来还
卡座的这7种功能设计你确定没有你家合适的吗
2022款帕萨特430phev混动豪华版
虫草活肾多少钱
顺峰(金阁店)-"老板在这里商务宴请他的领导,领导很高兴说.
平顶山市鹰城广场景色怡人,是市民休闲散心的好去处