图知网
搜索
首页
热门推荐
图片分类
小腿骨小腿骨折的采集图像及钢板内固定手术治疗. 折断胫骨和腓骨照片
下载原图
相关图片
开放性胫腓骨粉碎性骨折结局已经更新
交通事故骨折的辨别:①尺桡骨骨折(珍藏版)
骨折骨裂图片
这个属于骨裂还是骨折,不打石膏可以吗
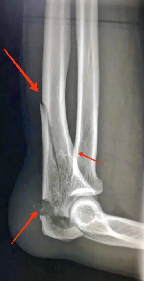
创伤左肘关节脱位伴尺骨冠状突骨折
医生您好,今年九月中旬摔倒,把右脚踝的腓骨末端给弄骨裂了,骨_骨折
为你推荐
黄同学漫画二战史抗日战争
红薯地瓜苗紫薯苗蜜薯西瓜板栗秧苗烟薯山芋番薯
有哪些电气工程及其自动化学生专用表情包? - 知乎
林米乐14号朗读课文《10爬山虎的脚》
可爱的粽子简笔画来喽详细画法都在作品里哦快来画吧
视觉设计
幸不二——你还欠我一个结局_哔哩哔哩 (゜-゜)つロ 干杯~-bilibili
炒股是投资不是投机如果你们把顺威当成存钱罐有闲钱