图知网
搜索
首页
热门推荐
图片分类
52岁的许晴有多漂亮?上台领奖惊艳所有人,身旁的彭于晏看呆了
下载原图
相关图片
50岁"许晴"破尺度出演交际花,性感妩媚,连"彭于晏"都得全裸出镜
彭于晏的胸肌,许晴的臀撑起了《邪不压正》的整部剧情
望向彭于晏,许晴炙热的眼神也毫不掩饰,事实上,许晴的勾人"眼神杀"可
彭于晏昆明邪不压正路演吐舌卖萌搞笑不断许晴笑容迷人露酒窝
《邪不压正》彭于晏许晴剧照
许晴和彭于晏站一起,为什么看不出年龄差?
为你推荐
六一儿童节绘画作品
素描动漫手绘满足了我二次元的幻想
一剪梅吉他谱佚名吉他图片谱1张
暴走财神 超级搞笑
时尚潮流公鸡三角形logo图案手工diyt恤贴卫衣贴热转印柯式烫画
骨子里的高贵女人,往往具备随性女人学不会的三种品质_生活_爱情_心态
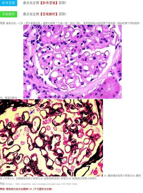
肾穿刺活检he染色镜下观如图,银染色镜下观如图所示.最佳诊断为 ( )
(微信)打(邀请)视频(通话)时,显示对方忙线中是什么意思?