图知网
搜索
首页
热门推荐
图片分类
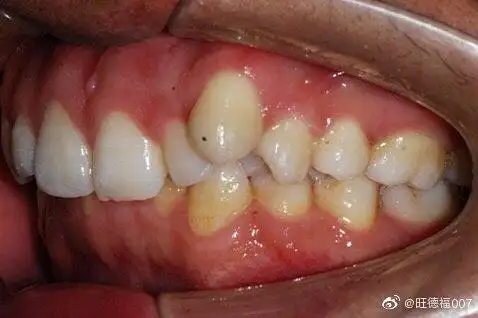
一颗特别突出的尖牙
下载原图
相关图片
下颌尖牙形态图片_有来医生
2012级第4次课口腔解剖生理学 (切牙,尖牙)ppt
下颌尖牙双根
思考她的下颌尖牙如何排入牙列的原创
下颌牙面照片
乳牙脱落顺序和时间,通常情况下,6~7岁时下颌的乳中切牙(中门牙)
为你推荐
相约在主里) / 南窗听雨编辑相关歌谱:[简谱]第442首 - 相约在主
三星c5手机套smc5000手机壳c5翻盖硅胶保护套防摔皮套外壳真智力
em>pu /em> em>heal /em>
如何评价虎牙豚豚大魔王3月5号晚上说自己一个礼物抵得上农民一个月
十五年后的美羊羊好飒啊!决战次时代 美羊羊-母婴亲子视频-搜狐视频
卡车发展史上的尖兵被忘却的蒸汽卡车图片列表
藻井——中国建筑极致美学
干了这杯尼格罗尼