图知网
搜索
首页
热门推荐
图片分类
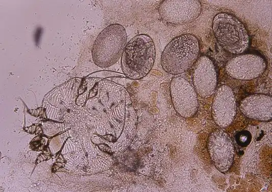
病灶区域的皮肤刮皮的显微镜检查发现虫子和虫卵.
下载原图
相关图片
草本硫磺软膏10%除螨疥阴虱疮虫卵结节私处止瘙痒外用乳膏 5%硫磺含量
茂盛医院家医科吕昀珊医生诊视老妇右侧屁股上的皮肤虫卵,四周已霉菌
女孩脾脏长满密密麻麻的虫卵医生切开后起一身鸡皮疙瘩
患者应做疥虫直接镜检,阳性标本可找到疥螨或椭圆形,淡黄色的薄壳虫卵
猫咪皮肤有个洞
上下共4个眼睑的睫毛和睑缘皮肤上,都密密麻麻粘满着了成串的虫卵和
为你推荐
海贼王头像│山治头像│爱心眼的山治
浩气长存红灯记革命现代京剧
绘本都是暖心的——《青蛙王子历险记》
庭院花园设计的效果图
宋女士提供的产权证 受访者供图
日本现千年来最早樱花季 美好景象背后掩藏怎样的危机?
虫粉们你们真的了解爆笑虫子吗
位于广东省阳江市阳西县沙扒镇的广东阳江月亮湾,以其美丽的海湾,洁净