图知网
搜索
首页
热门推荐
图片分类
苹果耳机怎么连接手机
下载原图
相关图片
如何使用苹果蓝牙耳机接听电话
苹果xr怎么连蓝牙耳机_无线耳机连接教程_智能家
怎么连接苹果无线耳机?
airpods耳机快速指南中文版
苹果无线耳机连接 苹果无线耳机连接上但是外放
下也能快速进行配对,只不过多了一个步骤——解锁以通过 icloud 连接
为你推荐
火影·语录_火影_语录_火影忍者_火影忍者_影视_动漫
女生155,只有120斤难道算胖吗?
100㎡北欧风格设计这装修颜色搭配简直好看到爆
劳动最光荣之厨房洗碗
蛇床子价格
两人卡通图片
08云烟细支珍品探秘 93来一起探索云烟细支珍品的魅力吧!
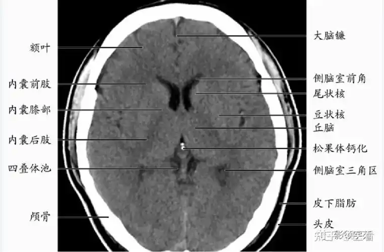
双侧基底节区对称性病变