图知网
搜索
首页
热门推荐
图片分类
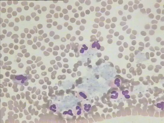
释放出的含铁血黄素颗粒被直接吞噬;也可以是红细胞被吞噬后血红蛋白
下载原图
相关图片
高倍显微镜下,鸡血红细胞被吞噬细胞所追杀,大自然真神奇
免疫学实验报告巨噬细胞吞噬鸡红细胞
*第一节胞生实验课,蟾蜍宝宝牺牲了,为了我们需要的新鲜的血,对不起了
鸡核显微镜下的鸡红细胞(血涂片鸡)照片
人正常血液涂片(大量圆盘状无核红细胞)
"隐匿"的血细胞
为你推荐
金宇彬和吴亦凡全套对比图.金宇彬身高结论186.
懒理与张翰领证传闻,张钧甯上线为闺蜜范冰冰送生日祝福!
luhan☆140704【图集】★=盘点鹿晗出道至今逆天秒杀高清图=★np_看图
美女系列壁纸第409期-刘涛
贝克汉姆:弗格森告诉我要让出10号给谢林汉姆,然后将7号交给我_腾讯
土拨鼠的搞笑动图表情包
张子枫的嘴好小##张子枫樱桃小嘴
武汉专家挑战传统世界地图用纬线分割地球仪图