图知网
搜索
首页
热门推荐
图片分类
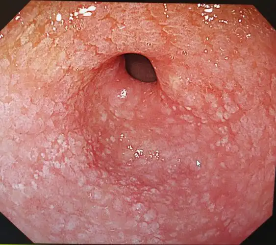
慢性浅表性胃炎
下载原图
相关图片
解读胃镜报告——糜烂,溃疡和肠化_胃镜_胃镜相关疾病 - 好大夫在线
解读胃镜报告——糜烂,溃疡和肠化_胃镜_胃镜相关疾病 - 好大夫在线
胃窦隆起糜烂
胃痛,胃胀,胃部不适,嗝气,是身体发出的什么信号?_手机搜狐网
在西安第四军医大学西京医院拍的胃镜片,胃的充血水肿糜烂严重程度
浅表性胃炎伴胃窦炎糜烂怎么医治
为你推荐
交作业啦,30周,孕妇照自己在家搞定9696#在家拍孕妇照
lol星之守护者岩雀皮肤上手体验:大招太可爱了,心都要萌化了
郑州黄河水
鹦鹉牡丹鸟笼大全八哥玄凤虎皮画眉特大号绣眼通用繁殖笼鸽子笼
跪拜(图片来源:菩萨在线 摄影:妙雨)
lovesickgirls钢琴谱blackpink
继电器有几种分类
自动扶梯,楼梯,地铁,地下,扶手,滚筒平台,运动