图知网
搜索
首页
热门推荐
图片分类
向所有为抗日战争流血流泪的英雄们致敬八佰超燃混剪
下载原图
相关图片
《八佰》:屈辱吗?那就对了!
电影《八佰》怎么样?看哭观众,热血沸腾,他们是最顽强的壮士
《八佰》最大的败笔,结局太过于仓促了,剩下两条线根本没讲完
《八佰》电影里的英雄硬汉戴过什么表?-小王聊表
手抖了?杨紫发文宣传《八佰》,开头两个字忘删引发热议
八佰真实历史事件揭秘(真实的他们格外悲壮)
为你推荐
中国2-18岁男童女童身高体重标准差单位曲线图医生推荐用图纸海报
少女心闺蜜头像
成都千众园林绿化工程有限公司
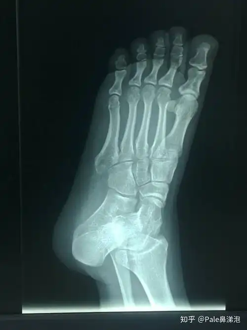
医生建议可以适当活动脚趾,用脚后跟着地借助外力逐渐走一走.
drippeddownexplicit
用尺规作图画正五边形
葬爱家族是什么梗 葬爱家族出处是哪儿_一聚教程网
五一劳动节,葛优当证婚人