图知网
搜索
首页
热门推荐
图片分类
正品李宁篮球球鞋新款音速8代cba系列韦德篮球鞋
下载原图
相关图片
篮球李宁球鞋驭帅xiiilow男子一体透气专业篮球鞋
【省68元】李宁篮球鞋_li-ning 李宁 韦德幻影5篮球鞋减震回弹柔软男
当前位置:>社区首页>运动户外>运动鞋袜>篮球鞋>li-ning/李宁篮球鞋>
李宁狂怒丨篮球鞋男鞋新款减震冰爽专业竞技运动鞋篮球外场鞋标准白
李宁篮球鞋男鞋新款音速8 low回弹低帮专业比赛运动鞋
abas059lining李宁全城10系列v2减震防滑耐磨低帮男子实战篮球鞋
为你推荐
最近的一些微信表情包[猫与熊]
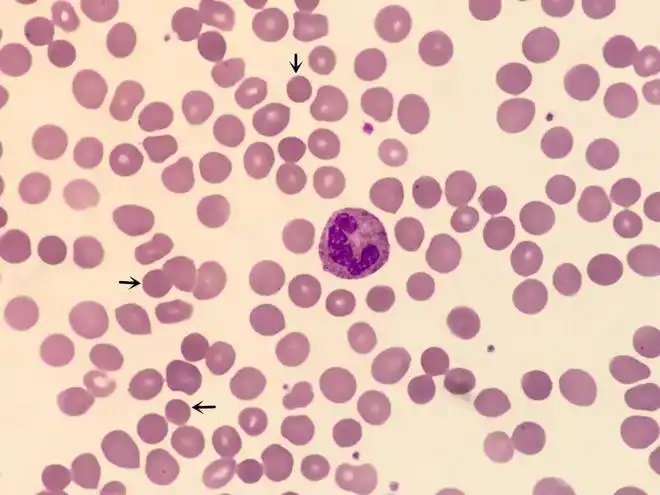
一例新生儿遗传性球形红细胞增多症案例分享
又是情头,还有一个闺蜜头
赵露思《神隐》大婚路透!露丝的古装果然稳!
搞笑熊猫头无字斗图表情包
朱亚文沈佳妮相爱七年,如今有两个可爱的女儿,一家四口其乐融融
用瓶盖做儿童创意小白兔拼贴画吧,太可爱了#幼儿园手工 #废物利用
厚蛋烧帕尼尼上新了