图知网
搜索
首页
热门推荐
图片分类
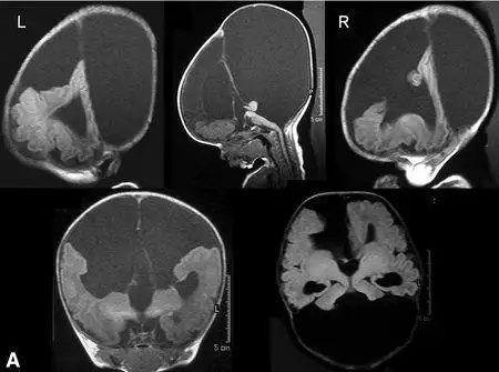
中央变异型前脑无裂畸形鉴别诊断_医学界-助力医生临床决策和职业成长
下载原图
相关图片
全前脑一例(有引产后图片) - 超声医学讨论版 - 爱爱医医学论坛
叶状全前脑? - 超声医学讨论版 - 爱爱医医学论坛 - 爱爱医医学网
【超声笔记】no.4?常见胎儿畸形的超声诊断及预后-健康频道-手机搜狐
"脑子进水"真的会让人变傻吗?-春雨医生
欢迎进入华西期刊社
全前脑畸形_颅脑先天畸形_颅脑先天畸形相关疾病 - 好大夫在线
为你推荐
我的虎牙长得很丑,为什么医生不让我拔掉?
黄昏下一个人孤独背影1280x720分辨率查看
下雪后,猫脚是不能沾雪的哦
奥迪 大众 3.0 tdi 发动机 柴油车 cdy cdya cdyb cdyc a6 q7 q5
椭圆形盘子
简笔画教程一看就会|胡萝卜
墨茉点心局保利广场店开业啦
童话故事(灰姑娘)