图知网
搜索
首页
热门推荐
图片分类
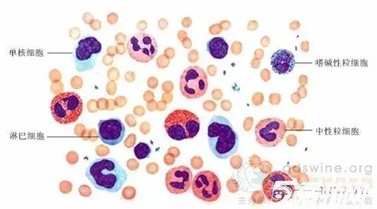
白细胞
下载原图
相关图片
400倍显微镜下尿液标本的白细胞.
白细胞,显微镜,水平画幅,无人,白血病
白细胞
白细胞数量低会有什么症状
一份高白细胞病例,我们一起来读片吧
显微镜下白细胞是什么样的
为你推荐
终于看到贾玲的真实模样,脸上太瘦挂不住肉,满脸褶子还显老
金城武
模特搭配
速写风景
海底捞拟在年底前关停300家门店
快递小哥全国职工学习党的二十大精神知识竞赛邮政快递
侧柏树叶,原创拍摄__财经头条
铁艺屏风客厅遮挡入户门玄关办公室餐厅洗手间隔断墙现代轻奢镂空