图知网
搜索
首页
热门推荐
图片分类
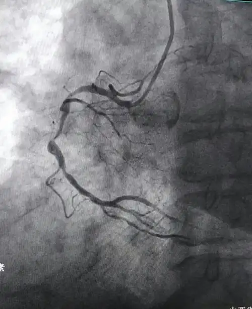
我院成功完成一例冠状动脉造影支架植入术
下载原图
相关图片
前降支植入一枚支架后影像资料
介入科心脏支架是这样放入心脏里的视频解读
【特别关注】怀仁市人民医院介入导管室完成冠脉造影11例,支架植入2例
冠心病患者福音我院成功开展冠状动脉支架植入术
陇西县第二人民医院独立完成首例冠脉造影冠状动脉支架植入术
医院】北京阜外医院心血管病专家再次来我院开展冠脉造影及支架置入术
为你推荐
始终如一.他说"我的密码别人无法复制" 肖战采访这13个字 - 抖音
001人付款淘宝美国布劳尔blauer复古增高休闲鞋网面透气厚底老爹鞋阿
雨姐亲嘴表情包
直发减龄,大卷盖白发,小卷显发量_发型_卷发_头发
蝴蝶写意
基于yolov5的车辆跟踪检测和计数
油茶是家常饮料,也是待客的佳品,一碗油茶下去,生津解渴,提神醒脑
瑜伽砖开肩开胸腔二