图知网
搜索
首页
热门推荐
图片分类
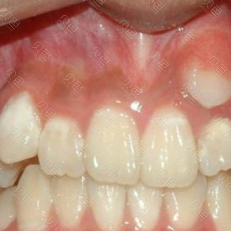
只戴了上牙套矫正多生牙,我妈都说正畸后换了一个人一样
下载原图
相关图片
门牙多生牙做正雅隐形矫正没想到在深圳正恩口腔12个月就矫正成
多生牙拔牙多少钱厦门牙齿矫正
我的牙齿有颗多生牙,因为害怕后面会长大,把旁边的牙_圈子-新氧美容
大连卓尔美笑口腔(海滨路店)多生牙矫正案例
【病例讨论】上前牙区多生牙拔除后 埋伏牙正畸牵引 [病例帖]
多生牙 外突矫正记录
为你推荐
汤唯,金城武釜山人气爆棚 遥祝玄彬保重身体(2)_韩国_电影网_1905.com
明星 台湾十大最帅男明星 周渝民占据榜首台湾有很多极具天赋的演员
你是我的荣耀 #杨洋 #迪丽热巴 #荣耀夫妇
口袋妖怪1~721图鉴.docx
巴黎举办塞尚作品灯光艺术展
大air皮蓬
钢琴谱:innocence
素描静物照片素材,罐子组合.#素描静物素材#素描静物@老梵f - 抖音