图知网
搜索
首页
热门推荐
图片分类
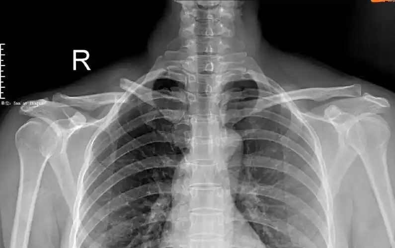
锁骨骨折及肩锁脱位的术后康复_锁骨骨折_治疗方式_康复锻炼 - 好大夫
下载原图
相关图片
闭合复位髓内固定治疗锁骨骨折
锁骨x光片
右侧锁骨骨折x线片
骨伤,男性,54岁,骑车摔伤,导致右侧锁骨远端略翘起,是否必要手术治疗
左肩锁关节脱位及复位后
右锁骨x线片:右侧骨折
为你推荐
沈腾作为一名备受大家喜爱的演员,为大家带来了许多经典的影片,比如让
快来接收特仑苏品牌代言人靳东的虎年祝福
胳膊上起的癣 抹了药开始蜕皮 这是什么毛病 有好几块 开始会痒
来自漫画育儿 - 微博
麦长青被指身价过亿(1/6张)
古风情侣 - 堆糖,美图壁纸兴趣社区
双鱼座的幸运数字 (双鱼座女生的幸运数字)-第2张图片-珑钦运势网
2018年施一公砸200亿打造西湖大学扬言5年超过清华结果怎样