图知网
搜索
首页
热门推荐
图片分类
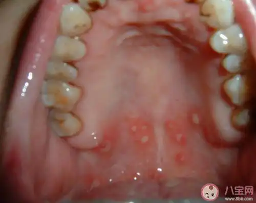
b6治口腔溃疡73用法:维生素b2每次20毫克,维生素b6每次100毫克(10片
下载原图
相关图片
【图】口腔溃疡看什么科室 口腔溃疡你了解多少
重庆口腔溃疡好的3家医院公布不排队技术好价格亲民
口腔溃疡,疼痛难忍,怎么治疗,速效最好!急急急!
宝宝口腔溃疡可以喝酸奶苹果吗
口腔溃疡总不好?教你3个快速恢复的小妙招,终身都受用!
复发性口腔溃疡有办法根治吗多久没愈合要看医生
为你推荐
橘色背景的梦比优斯奥特曼用起来真的很好看力推反正我以安排上了
手绘迎财神海报背景
舟山螺塘线携诗情画意冲击年度全国十大最美农村路舟山这条最美公路
飞羽男-ok
率性清爽栗子头 简单大气好打理_男士短发 - 美发站
霸气女生头像,超拽冷酷范😎 今天给大家分享一组霸气女生头像,每一
吴江旗袍秀
"七巧科技"智力七巧板个人赛试卷