图知网
搜索
首页
热门推荐
图片分类
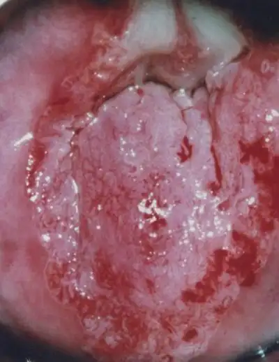
这宫颈糜烂是几度?需要手术治疗么?大概要花多少钱?
下载原图
相关图片
宫颈癌图片 (32)
宫颈癌图片 (32)
宫颈糜烂,如图所示,请问吃什么药可以治疗.
医生提醒不想宫颈受威胁3件事提前注意或能绕开宫颈癌
宫颈癌的前世今生
宫颈糜烂一二三度图片及症状,女性一定要重视发展成宫颈癌就晚了
为你推荐
歌手格格写真大赏气质惊艳美丽动人
黄晓明这个发型叫什么寸头?
小女儿头发多是一种什么样的体验 外国妈妈给多发量女宝编七巧辫子
凹凸世界像素团头
玖磊石材五莲红楼梯踏步板大理石楼梯踏步板光面加工定制厂家
just one last dance
西宁夏天的风景优美如画_人民公园_美得_动静
童心向党,阳光下成长.(二)