图知网
搜索
首页
热门推荐
图片分类
皇马官方:塞瓦略斯距腓前韧带和腓跟骨完全断裂
下载原图
相关图片
郑州市骨科医院足踝外科 王亚磊 左踝关节外侧副韧带损伤
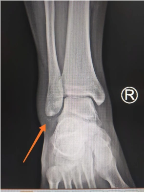
给小夏进行了仔细检查,检查结果为右外踝骨折,右外踝关节侧副韧带断裂
修复断裂的三角韧带深浅层
右足韧带撕裂
脚踝距腓前韧带断裂诊断治疗康复全过程
打篮球脚踝「撕脱性骨折 韧带断裂」 从受伤到康复日记 - 知乎
为你推荐
甜品拟人
行尸走肉第11季回归时间已定
爱过你这件事简谱-西柚演唱-桃李醉春风曲谱-钢琴谱网
78w的奔驰7座商务车;享有5.37米长,1.92宽,1.89高的巨大实用空间;2.
晋江文学城网友交流区
画面上高山巍峨,山石参差,树木繁茂,流水浩荡.
猫咪可爱萌宠喵星人gif动图_动态图_表情包下载_soogif