图知网
搜索
首页
热门推荐
图片分类
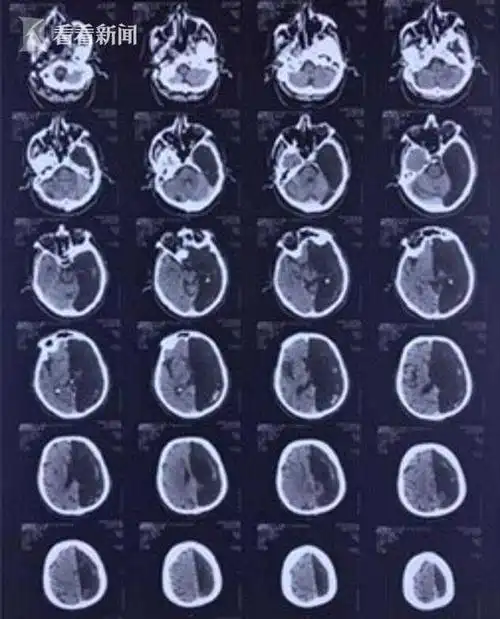
图-24:2020年1月22日头颅核磁图-25:2020年1月29日头颅ct图-26:2020年
下载原图
相关图片
超实用急诊头颅ct3b阅片法
超实用急诊头颅ct3b阅片法
干货分享怎么读懂颅脑ct
读片丨女30岁间断性头痛颅脑ctmri
原创神奇60岁老人做头部ct左脑是空的仅靠半个大脑存活
认识这几种头颅 ct,值夜班稳了
为你推荐
古代女人生孩子的方式,看完后让人直呼:太不容易了!
好运安慕希年年在一起##安慕希甜郁芒果酸奶
刘耀文被北电国际班录取少年演员再攀高峰未来可期
曾馨莹嫁富士康百亿老板40岁三胎稳坐豪门她凭什么
成片经典又大气快带你爱的人拍一组高级感黑色婚纱照#哈密摄影工作室
小清新壁纸干净的蓝色
我会珍藏一些蔡徐坤泰国演唱会的饭拍照片 蔡徐坤的舞台真的就是绝美
古装定妆照