图知网
搜索
首页
热门推荐
图片分类
祝您生日快乐聊天动态表情图
下载原图
相关图片
生日快乐祝福语简短精辟简短文艺的生日祝福语
最美的生日问候祝福送给你祝你生日快乐
太美了2021生日快乐表情图片祝福生日快乐动态美图打开收藏起来备用
最真诚的祝福送给你祝你生日快乐祝你年年有今日岁岁有今朝
不用打字就可以祝福生日快乐的动态图片
最美的生日问候祝福送给你祝你生日快乐
为你推荐
天空 云 龙卷风 山 创意手绘风景4k壁纸,是彼岸图网给您推荐的高清4k
q版肖战头像分享,萌萌哒的肖战,太可爱了
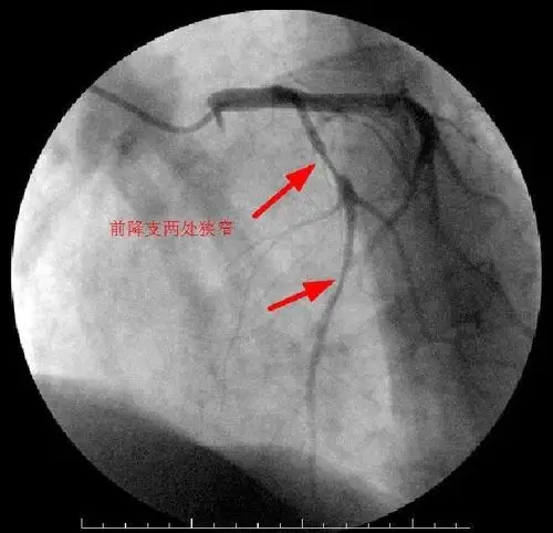
冠脉造影术——叶县二院介入科
春季高考试卷天津市春季高考语文模拟试卷cpdf10页
百年历史武汉市汉口一元路坤厚里
qq女生头像仙气爆棚高清清新唯美的真人仙气女头图片
郑恺携于文文《幸运就在澳门巴黎人》情人节甜蜜献映
第四集|"绅士不如山治"#海贼王 #山治 #海贼王头像