Warning: session_start(): open(/tmp/sess_58lal9gsddpb909brvp63o2hdi, O_RDWR) failed: No space left on device (28) in /www/wwwroot/www.tuzhiw.com/config.php on line 13

Warning: session_start(): Failed to read session data: files (path: ) in /www/wwwroot/www.tuzhiw.com/config.php on line 13
天津港的宝马x6现在元旦活动大降价中 - 图知网

天津港的宝马x6现在元旦活动大降价中

相关图片

为你推荐

古装美男博君一肖 肖战王一博有钱哥哥 王甜… - 堆糖,美图壁纸兴趣

【杨洋】杨洋广告 samsonite 新秀丽

雄兵连:恶魔女王莫甘娜为谁流泪?不是蔷薇,而是他

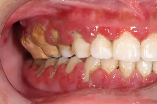
孕期重度牙周病

一只鸟的车标是什么车

首届堆雪人大赏你堆的这个雪人好像一只

原创劲拍前浪沙滩上第一种后膛装弹的栓动步枪

吐血


Warning: file_put_contents(/www/wwwroot/www.tuzhiw.com/cache/image/b34dc0d909c9923a06a453a99352551d.html): Failed to open stream: No space left on device in /www/wwwroot/www.tuzhiw.com/config.php on line 196