图知网
搜索
首页
热门推荐
图片分类
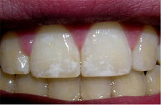
请问牙齿上有白斑是什么情况呢
下载原图
相关图片
icon牙釉质白垩斑树脂渗透疗法学习班--泉州站-在线订票-互动吧
釉质内形成大量的微孔样结构,外观呈无光泽的白垩色
轻度氟斑牙:白垩色不透明区超过患牙牙面的1/4,甚至累及整个牙面,牙无
氟斑牙轻度的时候没有牙齿形态的变化,有意思的是如果氟斑的白垩色
牙齿上的小白点,甚至大块白斑是什么?
女孩7岁上颌前牙龋齿白斑影响美观
为你推荐
好看的牵牛花高清摄影图片电脑壁纸
斗罗大陆:唐三的7个形象中,还是修罗神唐三最帅最霸气_时期_黑化_唐门
中国行政区地图
鬼刀冰公主精选超高清动态壁纸第6弹
蓝莲花>>电吉他经典独奏带高清谱
我的手机摄像头坏了,拍不了纯黑色照片 ,谁帮我发一张黑色照片
感恩 - 基督教歌谱-迦南诗选-基督教歌谱网基督教简谱网歌谱网 诗歌
萌学园的萌骑士图腾有得买吗