图知网
搜索
首页
热门推荐
图片分类
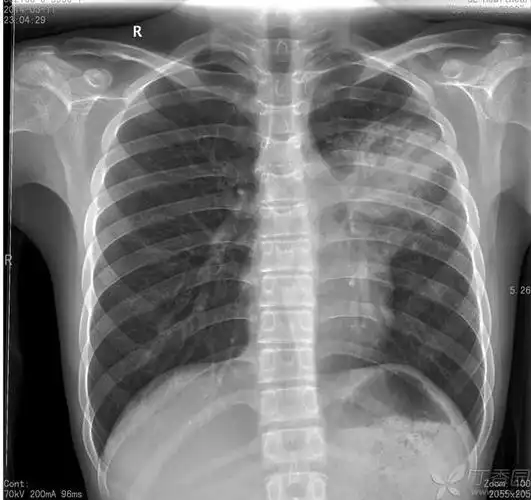
病例分享儿童大叶性肺炎为什么气管镜冲洗
下载原图
相关图片
大叶性肺炎?合并肺脓肿? [病例帖]
多图一文看懂大叶性肺炎的影像表现
多图一文看懂大叶性肺炎的影像表现
47岁大叔大叶性肺炎,经过连续药物治疗才得以好转
大咖--徐秋贞教授 为你拨开迷雾见晴天
于2014-02-27拍胸片,诊断为大叶性肺炎; 在当地诊所抗炎治疗,10天左右
为你推荐
[super junior][新闻]150703 艺声:出生以来第一次穿女装
诸城数字电视节目表(2013.11)
森林插画
行为改造型激励理论:强化理论
【日本tbs剧】0607泷泽秀明《毫无保留的爱》预告片2
融入雾色的蓝色矢车菊如你的眼眸
创作挑战赛初夏篇# 哈喽,大家好,给小朋友们分享一个雪糕的简笔画
这是v家中的谁?如果可以,请给我详细资料