图知网
搜索
首页
热门推荐
图片分类
淡雅文艺背景素材_高清淡雅文艺背景图片免费下载-90设计网
下载原图
相关图片
水彩花朵淡雅水墨宣传单海报背景素材
淡雅背景背景素材免费下载(图片编号:5916054)-六图网
淡雅的春天背景素材图片
一组淡雅的背景素材 - 理睬 - .
淡雅背景
水墨画h5背景免抠素材免费下载_觅元素51yuansu.com
为你推荐
老九门九人各自精通什么
歌曲3
头部及表情篇 零基础漫画基础教程素描绘画 漫画手绘描摹临摹画册动漫
文字伤害文字控壁纸
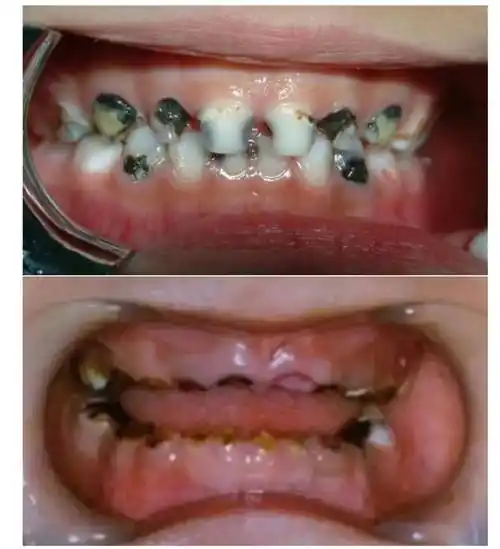
小孩蛀牙怎么办(5岁儿童烂牙到底要不要补)插图
科学制作制作万花筒文库吧
微信头像华晨宇
海鲜美味佳肴做法赶紧收藏干货分享