图知网
搜索
首页
热门推荐
图片分类
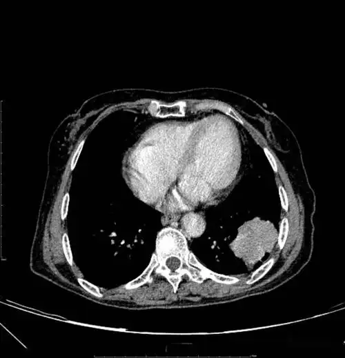
咳嗽半个月的60岁哥哥一做胸部ct发现早期肺癌,什么事儿都没有的55岁
下载原图
相关图片
ct早期发现肺癌的有效方法
她手里拿着ct报告."肺癌"两个字十分扎眼!"您有什么不舒服?"我问她.
年年做胸部ct,为什么还会得晚期肺癌!
在ct上肺癌分几型?
胸部ct平扫示左下肺占位肺癌
早期肺癌与晚期肺癌的ct影像
为你推荐
穿着盛装中式传统服饰的新娘,羞涩地坐在婚床边等待新郞的到来
随手拍#红色的海棠果,可生吃,酸酸甜甜,生津止渴,健脾开胃.
神仙组合蔡徐坤lisa同框太养眼长腿cp这身材必须服
娱乐小视 这大嘴巴 让蜜蜂给蜇成这样了 #一姐搞笑有趣时刻
【盛势】彭泽 李真真
纯纯的蒙古族长相是什么样
侃爷年底冲业绩红椰子350v2终于要发售了
大鱼漫画 | 气泡酒,玫瑰和盐矿,俄乌争抢的巴赫穆特是个怎样的地方?