图知网
搜索
首页
热门推荐
图片分类
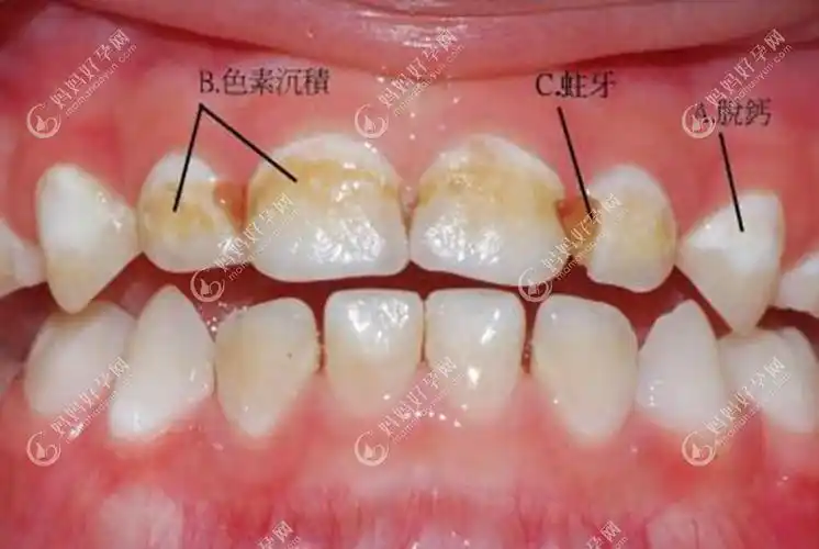
宝宝牙齿钙化轻度图片(乳牙龋坏不用治) - 赤虎壹号
下载原图
相关图片
我是口腔科护士,牙齿问题可以咨询我哦!
宝宝牙齿钙化轻度图片(乳牙龋坏不用治) - 赤虎壹号
九岁宝宝牙齿发黄 颜色发瓷白 没有光泽怎么回事?
宝宝才2岁牙齿就这样,怎么办?求答案
宝宝前门牙有点钙化怎么办婴幼儿牙齿钙化会自愈恢复吗
宝宝牙齿脱矿原来是这么回事
为你推荐
刘宪华henry-lau今天是酷酷的机车风,点开大图收藏溢出屏幕的帅哦
环境保护图片_png透明背景素材免费下载_设计图片大全_设计盒子
healer 池昌旭
吕良伟19岁儿子罕露面身材圆润厚实父母曾花费10万帮他减肥
ticklekuri
暴力色情!14款最离经叛道的成人游戏 电车之狼居首
宝可梦卡露乃同人合集p站分享017含id
威少僵尸跳投再现中投直接投到篮板上沿看傻了队友