图知网
搜索
首页
热门推荐
图片分类
只是堵塞部位不同,那么三个血管相对来说,前降支最大,风险最高,死亡率
下载原图
相关图片
心脏和冠状动脉 主动脉 左冠状动脉 左回旋支 左前降支 右
左前降支
前降支植入一枚支架后影像资料
冠状动脉的主要血管指左冠状动脉主干,前降支,回旋支及右冠状动脉,不
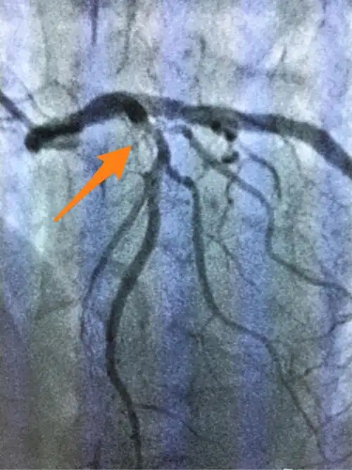
造影结果显示前降支闭塞
术前:前降支近段弥漫性狭窄最重约90%
为你推荐
王源看我们如何相遇vlog
偶尔更新背景图 tfboys - 堆糖,美图壁纸兴趣社区
绿野仙踪室内森系写真
那么,米粉店装修应该注意哪些问题呢?下面我们一起来了解一下.
exo专辑dontstopthefeeling
奥特曼#这么帅的赛罗看看有多少人喜欢的
手背虎口处前两天突然长了一颗痣,有可能癌变吗?需要去做防癌检查吗?
中国十大美女,中国最美的女人