图知网
搜索
首页
热门推荐
图片分类
张翰才终于松了一口气,但"网暴"远没有结束,只是对象换成了古力娜扎和
下载原图
相关图片
张翰居然有搞了一个对象,告别娜扎以后,现有找到了高文君
张翰新女友曝光!美女约会园区游玩,引热议登热搜_明星_媒体_情感
张翰居然有搞了一个对象,告别娜扎以后,现有找到了高文君
从王成刚到冯铭潮,从张翰到谢思宇,再到最新绯闻对象徐开骋,她似乎就
随后回到里屋换上,而张翰和郭麒麟简直是对周也大赞不已,而对比的对象
张翰被曝恋爱瓜:出名后甩第一任女友,前女友整成暧昧对象的模样
为你推荐
李湘官宣退休!定居英国身价高达5千亿,大学时就买70套北京房产
jennie lisa
冰川,雪山,寒冷 桌布 - 1920x1440
适合圆脸女孩的短发谁剪显谁脸小
社会主义核心价值观组歌:爱国歌简谱1
仰韶文化庙底沟类型弧边三角纹彩陶盆.(图片来源:甘肃省博物馆官) )
少年精灵王伊特诺斯
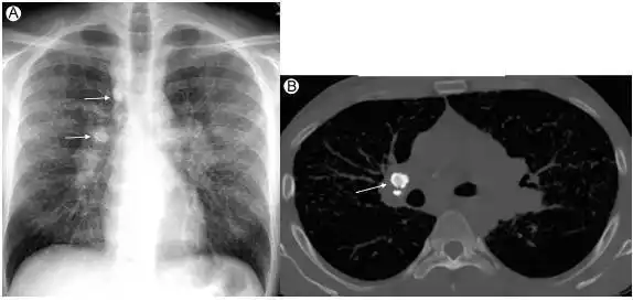
(a)35岁男性,患有结节病,正位胸片示双侧肺门增大,双侧气管和非主动脉