图知网
搜索
首页
热门推荐
图片分类
中国门窗配套材料网-产品中心-bx-8600 高级硅酮耐候密封胶/(软)
下载原图
相关图片
石材硅酮耐候密封胶jm-993
新品上市 德国 百德耐水型 中性硅酮密封胶,经典款百德水性收 - 抖音
宏英2000硅酮耐候密封胶
富硅898硅酮结构密封胶
ss511硅酮耐候密封胶
ff3661硅酮耐候门窗密封胶
为你推荐
加拿大(九)维多利亚市
郑少秋55岁长女自杀,现任妻子回应:秋哥心情未平复,遗产给生母_郑安
2024款的thinkpadx1fold16来了你还会买
入党申请书下载(入党申请书电子版)-野火软件网
阴阳师浮世青行灯花合战新皮肤曝光
【瓦当】-明代-南京宫殿 上的-大型龙纹 素烧瓦当-正式会员拍卖交流
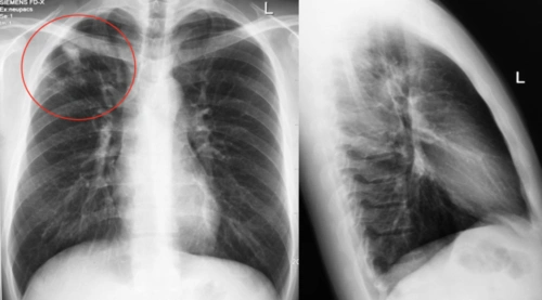
陈起航教授:肺结核的影像学评价——遏制,终止,终结肺结核(2)_腾讯
假面骑士build dx天才满瓶 genius full bottle