图知网
搜索
首页
热门推荐
图片分类
广东高院党组成员副院长万国营一行到泸定法院调研指导工作
下载原图
相关图片
市中院党组书记,院长万国营到南山法院调研指导工作
万国营代表深圳中院党组向与会特约监督员表示感谢.
深圳市中级人民法院院长万国营等参加了签约仪式.
市中级人民法院院长万国营作《深圳市中级人民法院工作报告》
万国营看望慰问深圳龙岗法院防疫值勤干警
破产审判手册 第二版 万国营 著 法律出版社
为你推荐
呆萌可爱头像女温柔真人高清好看的惊艳女头图片
现代诗歌千年白狐文冰山雪莲
菊花的简笔画菊花的简笔画怎么画
第三步:趁猪皮还没冷却的时候用菜刀把猪毛刮干净,再清洗一遍.
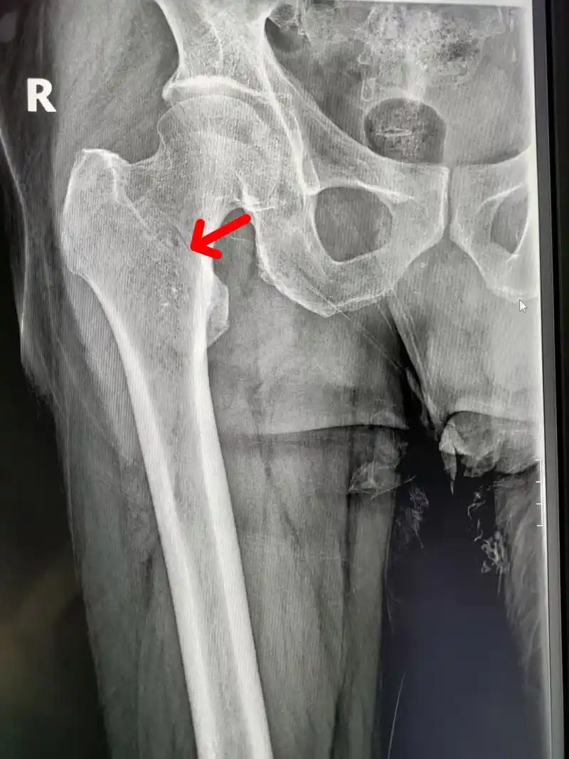
男,67岁,因滑倒就诊,右股骨粗隆间骨折,就是我们老百姓说的大腿根的
深圳古玩城
小铜茶壶
国民党保密局办公室这时他想起住在三人附近的国民党军官何毅吾和