图知网
搜索
首页
热门推荐
图片分类
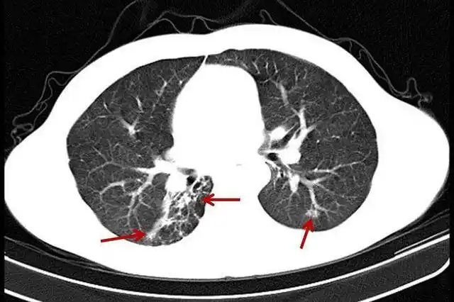
义诊先行 学术护航 关注肺间质纤维化 共享呼吸健康_医疗_疾病_特发性
下载原图
相关图片
图文丨无原因的杀手之肺囊性纤维化(上)
肺纤维化能活半年到十年不等的时间,具体存活时间需要根据患者病情
肺纤维化
为什么肺纤维化患者咳吐粘痰者多咳清稀痰者少
肺纤维化
头条问答 - 双肺多发纤维化钙化灶,会出现什么问题?(14个回答)
为你推荐
群星- 祝你生日快乐歌 [弹唱] 吉他谱
一九分侧分的这款韩式中长发让美眉的瓜子脸变得更加精致小巧,同时还
黑白拽姐头像动漫 高清好看的高冷黑白女头像动漫图片_女生动漫头像
上海市地图高清版大图 可放大版行政区划: 截至2017年,上海市共辖16个
出自龙珠斗士的桃红黑悟空
跪求把照片给截成一寸(单个)两寸(单个)
素描 #画画 #手绘 #艺术 #tao大师 今天画个跑车 - 抖音
43张百家姓,编号243