图知网
搜索
首页
热门推荐
图片分类
闪闪红星10背景视频素材
下载原图
相关图片
小红星特写红星照片
巨龙腾飞红星闪耀
红星照耀中国长征中具有重大意义的事件
闪耀吧星星红星闪闪少儿影视剧新乡全城寻找小戏骨
红星7(red_star_png7.png)
《闪闪红星》16背景视频素材
为你推荐
射雕洪七公为什么不使用丐帮第一神功打狗棒法
huogen厚底凉鞋,复古90年代.我以前不喜欢厚底,今年上 - 抖音
等差分纬线多圆锥投影
餐饮美食图片油麦菜
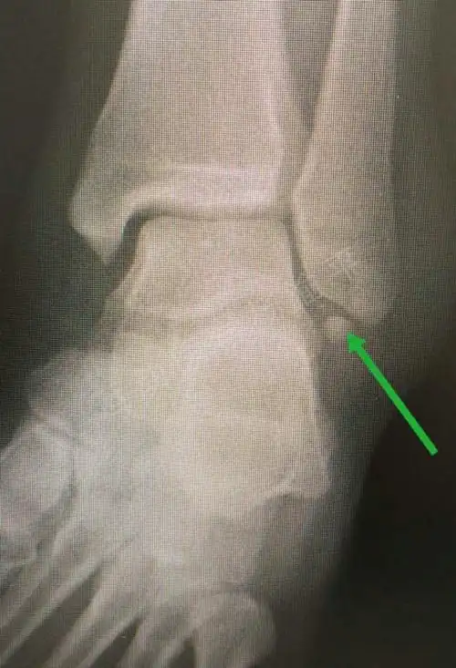
外踝扭伤撕脱骨折的手术知识清单
视死如归,他们年轻的生命永远留在了青山里;机智勇敢的王二小把鬼子带
脑子不够用英国brainquick给你的大脑加加油
鱼尾纹小披肩女旗袍外搭夏季 配裙子薄款 护颈椎空调房针织圆角护肩