图知网
搜索
首页
热门推荐
图片分类
地标建筑简笔画教程31 地标建筑31-福州白塔又名定光塔,全名报恩豆忖
下载原图
相关图片
简笔画 风景简笔画 建筑物简笔画 正文内容 北海白塔的资料 白塔
北海白塔简笔画怎么画
简笔画26北海白塔
辽阳白塔公园简笔画
手绘线稿北京北海白塔免抠元素
简笔画北海白塔北海白塔简笔画图片教程北海公园五龙亭简笔画北海公园
为你推荐
拥有世界上最大爪子的恐龙,暴龙都怕它三分
亲密爱人_格格_高音质在线试听_亲密爱人歌词|歌曲下载_酷狗音乐
绿海家园3室2厅1卫120.8㎡南北413万
jiesign书法字体设计无心
囧: embarrassed cat cartoon
扑面而来的浓郁味道让人应接不暇.
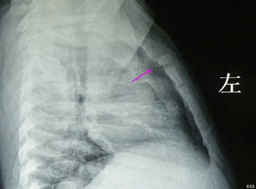
胸骨发育异常
瑟瑟发抖