图知网
搜索
首页
热门推荐
图片分类
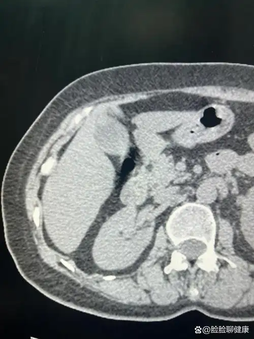
节段型胆囊腺肌症伴结石
下载原图
相关图片
胆囊标本.
胆囊腺肌症一例
胆囊底部局限性增厚:胆囊腺肌症
胆囊腺肌症
浙大二院科普号
解剖出胆囊管及胆囊动脉.胆囊形态.3."胆囊结石胆囊炎",可见胆囊分隔.
为你推荐
女友视角的易烊千玺来啦 又是被玺子哥迷倒的一天
女生头像·卡通动漫人物
台湾第一丑男黄任中赚56亿花25亿泡妞直言没有女人吃不下饭
菲律宾十大最帅男星菲律宾帅哥盘点
福建农村网-海峡农业杂志社旗下网站-美丽乡村,三明样板来了!
儿童画帮帮龙薇琪简笔画
中核集团 发博力挺流浪地球只是电影中的小部分这些幕后的黑科技完美
圣诞老人来啦,来画个红帽大胡子吧#简笔画教程 #圣诞老人简笔 - 抖音