图知网
搜索
首页
热门推荐
图片分类
假胡子_假胡须将军大臣戏剧古代人物影视剧组化妆道具演出用品仿真假
下载原图
相关图片
古代男人留胡子的习惯,怎么到现在变成刮胡子了?
古代八字胡男人图片(男人长八字胡图片)--亚圣国学网
古代男士假胡子胡须影视戏剧造型侠客大胡子假发胡子假胡须
古代男人,为什么都喜欢留胡子,"八字胡"和"山羊胡"有何区别
古代男人留胡须,是颜值和地位的象征,他们是如何打理胡须呢?
舞台演出须胡子江湖大侠仙人胡子假胡须古装影视剧中老年造型胡子
为你推荐
七岁学生手工制作
高清唯美的女生孤独伤感背影头像图片
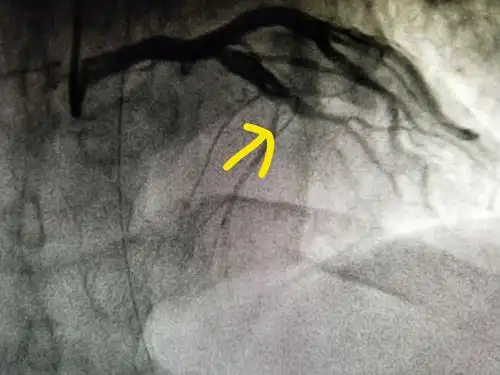
冠脉造影示:前降支中段100%闭塞,为此次心肌梗死之罪犯血管
赛罗奥特曼15周年纪念海报公开 大概率要在今年的新作客串登场
产妇分娩拍摄: 了解下女人生孩子是有多痛!
描写月亮的唯美语句月儿小得像一只开卡弯得让人陶醉
网友曝光黄晓明老婆angelababy杨颖小时候所有照片
巧用布艺元素,打造梦幻公主房