图知网
搜索
首页
热门推荐
图片分类
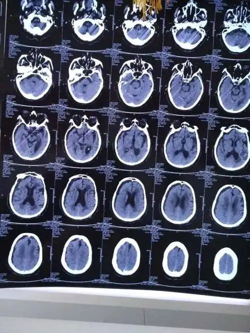
脑萎缩帮忙看看
下载原图
相关图片
两种常见脑萎缩ct表现
2014-11-11:头颅ct:明显脑萎缩,双侧幕上严重硬膜下积液,脑室扩张.
ct检查正常的大脑先来看看正常的大脑图像:正常大脑和萎缩的大脑,ct和
体检发现头颅ct局限脑萎缩
颅脑mri和颅脑ct显示,脑梗塞,硬膜下积液,外伤性脑内血肿,脑萎缩,住院
如何鉴别脑萎缩与硬膜下积液一张表格就掌握
为你推荐
中央电视台标志加粗矢量图标照片
小学阶段英语常见字母组合发音总结
关于文峰塔的简笔画
动感地带和摩托罗拉rokr e2手机2006年促销活动宣传广告(周杰伦代言)
捷德胶囊万代
揭秘!劳力士真的和高仿区别在哪里"借风使船"-第2张图片-实现全球网
星骑雅马哈福喜125尾箱禧福颖巧格旭鹰铝合金巡鹰赛鹰后备摩托车尾箱
我喜欢的样子你都有小猪可爱依靠gif动图_动态图_表情包下载_soogif