图知网
搜索
首页
热门推荐
图片分类
患者:于成东,男,45岁,左侧基底节区脑出血
下载原图
相关图片
患者:陈伟杰,男,42岁,左侧基底节区脑出血
近日,西安医学院第二附属医院神经外科完成首例基底节区脑出血患者
赵建和,男,59岁,右侧基底节区出血破入脑室
史力,男,65岁,右侧基底节区出血破入脑室蛛网膜下腔
患者:张希清,女,50岁,左侧基底节区脑出血,呈嗜睡状态
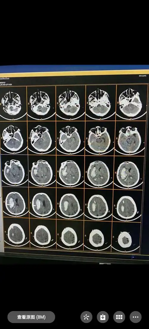
患者:沈淑春,女,60岁,右侧基底节区脑出血,呈嗜睡状态
为你推荐
《后会无期》再曝新照 陈柏霖王珞丹眼神复杂
女童手工不织布精品发夹女孩儿童发饰头饰品宝宝公主头饰bb夹夹子
简笔画霍格沃兹魔法学院黑白简笔画霍格沃茨简笔画礼物简笔画教程知识
交通安全儿童画小学生文明出行走斑马线绘画成品彩图加线稿电子素
超轻粘土塑造的水果系列,是不是很想咬上一口?
体光法师开示不争
如果你来看这个地宫,除了光绪皇和隆裕皇后的陵墓之外,你只能看一个
三台小代步车: 13年宝马320li,6.58万! 16年宝马316li,7.