图知网
搜索
首页
热门推荐
图片分类
"死侍"可能会主演
下载原图
相关图片
漫威死侍系列还活着!《死侍3》编剧敲定,主演瑞恩雷诺兹回归
《死侍2》由好莱坞顶级笑星"小贱贱"瑞恩主演,是漫威系列中最搞笑的
fox发行,r级黑马电影续集《死侍2》正式公布"灭霸"演员乔什·布洛林
瑞安雷诺兹携死侍2剧组为意外死亡的特技演员默哀
死侍,雷诺兹写真_壹品娱乐网class01.com
死侍为来华宣传推迟手术自曝续集定名小贱贱
为你推荐
王源演唱会##王源太湖湾音乐节官宣##王源##实时号检测
冰火口爱水螺旋果冻玉米糖跳跳糖爆炸糖按摩技师服务会所足浴专用
矿物晶体奇石头原石极品天然乌拉圭紫晶洞摆件紫水晶原石摆件d
分类药店标签gsp全套标牌otc贴纸制度标识货架附件
原宿风女生头像时尚_微信头像_我要个性网
finerworld三二一茄子
纸嫁衣第五章,莫琪终于被我救回来了
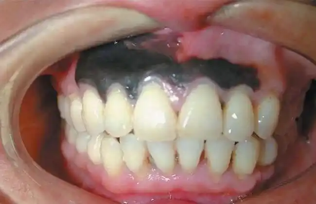
男子牙龈被黑色覆盖直到医生告诉他患上了这种癌