图知网
搜索
首页
热门推荐
图片分类
围观在中卫有一种地下车库叫隆府带您探析品质车库
下载原图
相关图片
某地下车库出入口坡道设计详图
兰天武陵国际汽车城停车场设计及施工方案
车库标准尺寸
车库门的安装空间需要多大尺寸的图纸
67图解地下车库设计规范
地下车库人员出入口详细图纸
为你推荐
火影忍者剧场版11博人传cut七代目火影漩涡鸣人01
2022款宝马3系正式亮相
活动作品微软模拟飞行2020日航78710星战涂装全极致画质
2021款凯迪拉克xt5xt6真有提升还是穿新鞋走老路
七绝日月同辉四首
秋天的花朵 丁香_花朵简笔画-简笔画大全
哪吒手绘教程演示
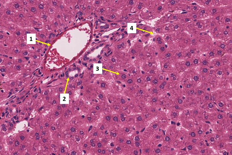
1为中央静脉 b,标记2为小叶间胆管 c,标记3为肝细胞 d,标记4为肝血窦